
公众号:
仙桃人民医院微信二维码

公众号:
仙桃人民医院支付宝二维码
返回顶部
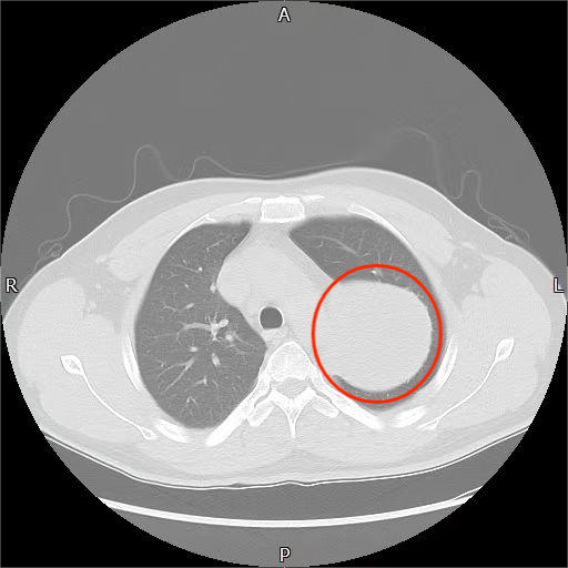
自从薄层CT纳入常规体检后,不少人通过筛查发现了体内的微小肿瘤。但46岁的陈先生(化名)在仙桃市第一人民医院体检时,却查出左侧胸腔里长了一个直径达8厘米的巨大占位,而他在日常生活中竟毫无感觉。
“会不会弄错了?”陈先生看着报告一脸茫然。带着巨大的疑惑,他走进了胸外科主任方震宇的诊室。阅片之后,方主任也颇为震惊:“比网球还大的瘤子,平时真的一点感觉没有?”陈先生焦急地摇头。
胸部CT平扫提示左侧胸腔巨大瘤体
方主任仔细阅片后解释道,这个瘤子虽然压迫了部分左肺,但来源在纵隔区域。发生在后纵隔的神经源性肿瘤,成人以良性居多,初步看很像神经鞘瘤。之所以没症状,是因为它长得极慢,肺组织有足够时间代偿退让,就像海绵被缓缓推开。但肿瘤紧贴锁骨下动脉、胸廓内动脉及交感神经链,再拖下去风险极高,建议尽快手术切除。
手术由方震宇主任与杜卓副主任主刀。打开胸腔后,团队发现情况比预想的更为棘手,肿瘤不仅处于胸顶最深处,还与大血管粘连紧密,稍有不慎,出血将难以控制。
手术团队果断采用胸腔镜辅助技术,在放大视野下将镜头伸入肉眼盲区,沿着搏动的动脉外膜边缘精细分离。既要完整剥离瘤体,又要保住血管和交感神经功能,操作堪称在“高压线”旁绣花。最终,这枚巨大肿瘤被完整取出,周围重要结构均保护完好。
术后第二天,陈先生便下地活动,饮食也恢复如常,且未出现相关后遗症。第五天顺利出院。术后病理证实为良性神经鞘瘤,这一结果彻底打消了所有疑虑,陈先生也重归平静生活。
方震宇主任提醒,纵隔肿瘤往往因无症状而被忽视,发现后应及时寻求专科评估。即便体积较大,只要通过精准的微创技术,依然能以最小创伤换来根治效果。
素材提供 | 胸外科
编辑 | 平 韦
责编 | 闻 达
审核 | 许 蜜
地址:湖北省仙桃市南城新区沔州大道中段29号 咨询电话:0728-3220999(工作时间)/ 3220079(休息时间) 传真: Email:1187831096@qq.com