
公众号:
仙桃人民医院微信二维码

公众号:
仙桃人民医院支付宝二维码
返回顶部
被“眼睑无力、头痛头晕”反复折腾了两年,34岁的肖先生(化名)一直没太当回事。症状时轻时重,他以为是工作太累、没休息好,扛一扛就过去了。直到最近症状持续加重,他才来到仙桃市第一人民医院神经外科,想查个究竟。
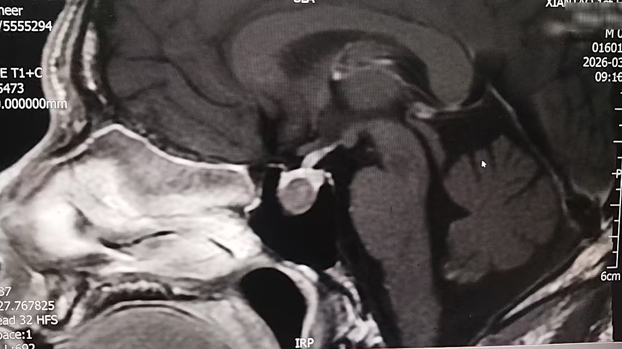
颅脑磁共振结果出来时,肖先生才知道,困扰他两年的“小毛病”,根源在颅内——鞍区占位。神经外科团队结合患者病史、体征及生长激素检验结果,最终确诊其为“垂体生长激素瘤”。
垂体瘤是起源于垂体前叶的常见颅内肿瘤,肖先生的肿瘤已侵犯鞍底硬膜。若不及时干预,不仅会持续加重头痛、内分泌紊乱,还可能引发视力视野损害等严重并发症。
神经外科团队迅速组织术前讨论,联合多学科专家共同评估病情。考虑到肿瘤位置和患者身体状况,团队决定采用神经内镜下经鼻蝶-蝶窦垂体病损切除术。这一术式利用鼻腔自然腔道完成操作,兼具创伤小、恢复快、疗效确切的优势,是目前治疗垂体瘤的主流微创方案。
手术当日,在全麻状态下,神经外科团队通过鼻腔这一自然腔道,在神经内镜下清晰暴露术野。精准定位肿瘤位置后,细致操作、逐步切除肿瘤组织,同时妥善修补鞍底硬膜,最大限度保护正常垂体组织,避免损伤周围重要神经与血管。整台手术历时1小时10分钟,术中出血少,无需输血。
术后,在医护团队的精心治疗和护理下,患者鼻腔恢复良好,无活动性出血,头痛头晕症状明显缓解,各项生命体征平稳,未出现脑脊液漏、颅内感染等并发症。复查生长激素水平显著下降,治疗效果理想,术后第7天顺利康复出院。
素材提供 | 神经外科
编辑 | 平 韦
责编 | 闻 达
审核 | 许 蜜
地址:湖北省仙桃市南城新区沔州大道中段29号 咨询电话:0728-3220999(工作时间)/ 3220079(休息时间) 传真: Email:1187831096@qq.com