
公众号:
仙桃人民医院微信二维码

公众号:
仙桃人民医院支付宝二维码
返回顶部
近日,仙桃市第一人民医院多学科团队成功救治一名因盆腔大出血导致失血性休克的危重患者,为其化解了多重生命危机。
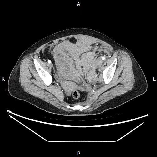
67岁的李婆婆(化名)被送至市一医急诊时,双手紧捂下腹,面色惨白,神志模糊,血压低至79/43mmHg,已处于失血性休克状态。医院立即开启急救绿色通道。急诊医学科医护人员迅速完成初步处置并护送患者完善CT检查,影像显示其腹膜后及盆腔存在广泛积血,预估出血量近2000毫升。
CT提示盆腔巨大血肿
盆腔出血原因十分复杂,肿瘤破裂、血管畸形或者附件破裂等都有可能,单靠影像学检查很难确定出血原因。只有抓紧时间行手术探查寻找出血点,才能找到病因,挽救生命。病情危急,医院迅速启动多学科会诊,胃肠外科、妇科、胸外科团队第一时间响应,共同前往手术室准备手术。
胃肠外科白少华主任团队率先进行腹腔镜探查。术中发现腹腔内肝、脾、胃、小肠及其肠系膜均未见明显活动性出血,盆腔内可见腹壁10X15厘米巨大血肿,视野受限极其严重,腹腔镜下操作困难。
结合探查情况和影像检查,在一旁协助的胸外科副主任杜卓敏锐判断,出血可能来自髂动脉系统。髂动脉是腹主动脉发出的大血管,直径约7-10毫米。此类大血管一旦破裂,出血量极大,极其凶险,杜卓医师立即上台协助探查。
髂血管解剖结构
髂动脉系统的解剖结构十分复杂,包绕于骨骼、肌肉之间,位于组织深层。在积血量大、视野不清的困难条件下,杜卓医师沿腹壁血肿与腹膜间隙深入盆底,细致解剖,仔细查找出血点。最终精准定位并结扎了出血的左侧髂内动脉,活动性出血随即停止。完成止血与清创后,患者被转入重症医学科监护。
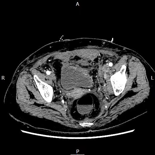
经过一天一夜的密切监护,患者生命体征稳定,转回普通病房继续治疗。经过CT复查,积血已经基本吸收,但危机仍未解除。因血肿压迫形成的左下肢深静脉血栓,如同“定时炸弹”,随时可能脱落并顺着静脉系统回流,阻塞肺动脉血管,引发致命性肺栓塞。
血肿已基本吸收
胸外科杜卓医师与马南山医师随即为患者施行介入手术,在下腔静脉放置滤器拦截血栓,并使用球囊扩张狭窄的髂静脉、植入支架,最后成功抽吸出各支静脉内的血栓。术后造影证实,患者原先被血栓阻塞的左下肢髂总静脉、髂外静脉、股总静脉、股浅静脉、腘静脉血流均已恢复通畅。
介入手术后次日,患者左下肢肿胀完全消退,可下床行走,数日后康复出院。“是你们救了我的命,10天解决了这么多问题。”出院时,李婆婆向医护团队连连致谢。
此次成功的抢救,再次展现了市一医面对复杂危重病例时,多学科高效联动、无缝衔接的综合实力。从精准外科止血到微创介入取栓,医院血管疾病诊疗技术已日趋精进,能让患者在本地就得到及时、高效的全周期救治。
素材提供 | 胸外科
编辑 | 平 韦
责编 | 闻 达
审核 | 许 蜜
地址:湖北省仙桃市南城新区沔州大道中段29号 咨询电话:0728-3220999(工作时间)/ 3220079(休息时间) 传真: Email:1187831096@qq.com