
公众号:
仙桃人民医院微信二维码

公众号:
仙桃人民医院支付宝二维码
返回顶部
心肺,是人体最核心的生命器官。在影视作品中,我们常看到角色因子弹或利器贯穿胸腔、伤及心肺而迅速死亡。那么,现实生活中若遭遇此类重创——整个胸腔被异物穿透,是否还有生还的可能?
两周前,仙桃市第一人民医院便成功救治了一名左侧胸腔被6厘米钢管完全贯穿的极重度创伤患者。其伤情之危重、抢救过程之惊险,堪比影视大片。
事发当夜,救护车的警笛声划破夜空,预示着一场生命保卫战即将打响。即便是见惯各类创伤和血腥场面的急诊医学科兰铭医生,在看到被推下救护车的小刘(化名)时,也不禁倒吸一口凉气。
一根直径约6厘米的中空钢管,从小刘左胸贯穿而过,从背后竟能透过钢管看到前方!担架所过之处,鲜血淋漓。小刘此时意识模糊、全身冰冷、呼吸急促,失血量已难以估量。若非顽强的求生意志支撑,他可能根本撑不到医院。
兰铭医生迅速冷静下来,立即上报创伤外科主任万千。“立即启动创伤急诊救治流程!”万千主任一声令下,胸外科副主任杜卓接到指令,火速赶往手术室。
与此同时,当晚值班的麻醉科及手术室医护全员到位,张浩医生与杨黎、何伟医生迅速备好呼吸机、监护仪及麻醉药品;手术室护士丁翠云、赵博文第一时间为患者开通静脉通路,并紧急调配大量血浆。在兰铭医生与急诊团队护送下,小刘一路绿灯直达手术室。
手术室地面很快被鲜血染红。监护仪接上的瞬间,显示血压仅79/52mmHg,心率高达113次/分。小刘气息微弱,面色惨白。胸外科杜卓医生果断指示:“立即准备开胸器械!抓紧麻醉,患者无法侧卧,稍微倾斜体位就行。”麻醉就绪,真正的战斗正式打响。
医护人员小心剪开患者衣物,钢管贯穿的创口逐渐显露。创面周围肌肉已乌黑坏死,皮肤、肌肉与碎骨外翻。“即便工作十几年,如此严重的胸部贯穿伤也十分罕见。”杜卓医生后来回忆道,“每一秒都在与死神赛跑。”他沿钢管贯通处迅速切开皮肤与肌肉,胸腔内积满鲜血与血凝块,一时难以辨认出血点。细致清理后,才发现钢管不仅贯穿了患者左肺上叶舌段,还将左下肺撕开一道6厘米的裂口。
术中取出的钢管
钢管被小心拔出后,杜卓医生一边用纱布压迫止血、暴露术野,一边清理胸腔内衣物碎片,并彻底消毒冲洗。“钢管带有铁锈和大量细菌,若不彻底清创,即便保命也将面临严重感染。”随后,他迅速解剖并切除受损的肺舌段,缝合左下肺裂口。胸腔渗血终于停止,视野恢复清晰。
“胸腔出血已控制,现在患者血压心率多少?”杜卓医生问。麻醉科张浩医生紧盯着监护仪回应:“大量输血后血压还只有60/40mmHg,心率110次/分,休克未纠正,ST段显著抬高。”
问题出在哪儿?杜卓医生仔细探查,发现患者心脏搏动微弱、心包胀满。“是心包积血压迫心脏!”他立即切开心包,果然又涌出大量鲜血。进一步检查发现左心室表面、靠近主动脉冠状动脉开口处有明显血肿,左侧冠状动脉主干受损,这正是心肌缺血、ST段抬高的原因。压迫止血后,心脏渗血终获控制,患者心搏迅速恢复有力,血压也随之回升。
再次确认胸腔无活动性出血后,手术团队彻底冲洗胸腔,修补固定碎裂肋骨,逐层缝合。此时已近凌晨3点。看着监护仪上逐渐趋于稳定的生命体征,所有人终于暂时松了一口气。
术中切除被贯穿左肺上叶舌段
在重症监护室观察30多小时后,小刘转回普通病房。尽管性命得保,但术后第二关——“肺部感染”接踵而至。CT显示,历经创伤与手术,他的左肺萎缩成一团,胸腔充满渗出液。若不及时进行呼吸康复,积液极易演变为脓胸,导致严重感染。
术后第2天胸部CT提示左侧胸腔积液、肺不张
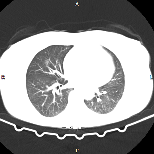
术后第10天胸部CT提示左侧胸腔微量积液,肺基本张开
深知术后呼吸训练关键性的胡杨护士长,立即安排护士对小刘进行一对一康复指导。经过一周系统训练,小刘的肺复张明显,胸腔积液基本经引流排出。经过数日的抗感染与支持治疗后,他顺利拆线出院。家属特意送来锦旗感谢。
从命悬一线到康复出院,18天的历程,是医护人员用精湛技术与仁爱之心将患者从死亡边缘拉回的见证。这场生命的奇迹,不仅彰显了医院在多学科协作救治急危重创伤上的卓越能力,更深刻体现了“生命至上” 的医者初心与崇高信念。
素材提供 | 胸外科
编辑 | 平 韦
责编 | 闻 达
审核 | 许 蜜
地址:湖北省仙桃市南城新区沔州大道中段29号 咨询电话:0728-3220999(工作时间)/ 3220079(休息时间) 传真: Email:1187831096@qq.com