
公众号:
仙桃人民医院微信二维码

公众号:
仙桃人民医院支付宝二维码
返回顶部
“没想到用小微创就解决了问题,恢复得这么快!”在仙桃市第一人民医院肝胆外科病房,患者雷先生(化名)对治疗效果十分满意。近日,肝胆外科团队成功为其实施腹腔镜下肝肿瘤微波消融术,以微创方式精准清除了肝内病灶。
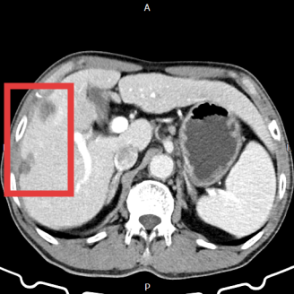
此前,雷先生因无明显诱因右上腹胀痛不适入院,经上腹部磁共振检查发现肝占位性病变。鉴于病灶的位置与特性,如何在不加重肝脏负担,尽可能保留正常肝组织的前提下彻底处理病灶,成为治疗的关键与难点。
肝右叶肿瘤
面对挑战,肝胆外科主任郑祖祥组织团队深入讨论与缜密评估,一致认为传统开腹手术虽能切除病灶,但创伤较大,对患者术后恢复及肝功能保护存在挑战。团队结合患者病情、病灶特点及身体条件等进行全面考量后,决定采用“腹腔镜下肝肿瘤微波消融术”这一微创方案。
该技术利用微波热能,能够精准、高效地使目标病灶组织发生凝固性坏死,从而实现病灶灭活,具有创伤小、恢复快、对周边正常肝组织影响小、并发症风险低等显著优势。
为确保手术达到预期效果,团队制定了详尽的手术规划与应急预案,对术前定位、术中操作精度、术后可能情况等各个环节均做了周密安排。
术中,手术团队紧密协作,周新红副主任医师凭借丰富的经验与娴熟的技巧精准操作,在腹腔镜清晰引导下,将消融针准确置入病灶核心区域,释放微波能量作用于目标组织,顺利完成病灶消融。术中患者生命体征平稳,几乎无出血。
肿瘤微波消融术后
周新红副主任医师介绍:“微波消融技术通过热能促使病灶组织凝固性坏死,既能确保治疗效果,又能最大限度保留正常肝组织,能大大缩短患者康复时间,减轻手术痛苦。”
素材提供 | 肝胆外科
编辑 | 平 韦
责编 | 闻 达
审核 | 许 蜜
地址:湖北省仙桃市南城新区沔州大道中段29号 咨询电话:0728-3220999(工作时间)/ 3220079(休息时间) 传真: Email:1187831096@qq.com