
公众号:
仙桃人民医院微信二维码

公众号:
仙桃人民医院支付宝二维码
返回顶部
随着大众健康意识的提升,肺部CT检查日益普及,越来越多过去难以发现的微小肺结节得以早期诊断。这些结节中部分为早期肺癌,传统上以手术切除为首选治疗方案。如今医疗技术进步,胸腔镜微创手术已能显著减小创伤,但对高龄且伴有严重基础疾病的患者而言,即使是微创手术,其身体条件仍可能无法耐受。
除了做手术切除肺结节,难道就没有其他治疗办法了吗?仙桃市第一人民医院胸外科为近期收治的一位高龄患者提供了新的解决方案。
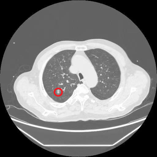
77岁的李老汉(化名)在体检中发现右肺上叶存在一个10×7毫米的高危结节,需进行干预。然而他合并有室性早搏、房性早搏、心功能下降、冠脉狭窄及重度呼吸功能不全等多种疾病,身体状况无法承受全麻手术风险。若不处理病灶,又面临结节进展可能带来的严重后果。
在充分评估病情并取得患者与家属同意后,市一医胸外科团队决定为李老汉实施“肺结节消融术”。手术由放射影像科辜赶超医师与胸外科杜卓副主任医师协同完成。手术团队在CT引导下精确定位病灶,经局部麻醉后,将消融导管经皮穿刺置入结节部位,通过高温热消融仅用时约3分钟即成功灭活病灶。整个操作过程约半小时,患者全程保持清醒,未诉明显不适。
术后复查显示李老汉胸腔情况良好,在2天短期观察后顺利出院。他和家人对治疗效果非常满意,感叹没想到肺结节可以通过这样一个小微创的方式得到解决。此项技术为因身体状况无法耐受常规手术的高龄及高风险患者,提供了安全有效的治疗新选择。
知识链接
一、什么是肺结节消融术?
虽然消融手术在肿瘤治疗方面已有很长的历史,但是用这种方法治疗肺结节的效果是在近2年才被承认并推广。消融手术是指CT引导下将消融针置入肺部结节病变处,在电磁场的作用下,病变组织内的水分子,蛋白质分子产生高速振动,造成分子之间的相互碰撞、摩擦,在短时间内产生高温,导致细胞凝固性坏死。
简单来说就好比使用一个微型微波炉,将肺结节烧熟从而使其坏死。目前主流的肺结节消融技术有三种:射频消融(RFA)、微波消融(MWA)和冷冻消融(CA)。
二、消融手术的优势
相较于传统手术,射频消融手术的优势表现为以下几点:
1、对肺功能影响轻微,可重复操作;
2、操作时间短,耐受性好,病人恢复迅速,费用相对较低;
3、以精准穿刺、微小损伤为核心,并能激活自身抗肿瘤免疫;
4、并发症风险低,临床易操作、高效。
三、消融手术适合哪些肺结节患者?
目前消融治疗对于直径小于3cm的肺部结节疗效较为确切,大部分能达到根治。特别适合以下情况的患者:
1、因心肺功能差或高龄不能耐受手术切除;
2、因特殊原因拒绝行手术切除;
3、外科切除后又新出现的病灶或遗留病灶,患者无法耐受再次手术或拒绝再次手术;
4、多发肺结节而无法全部切除;
5、各种原因导致的重度胸膜黏连或胸膜腔闭锁而无法行手术切除;
6、随访期间重度焦虑,经心理或药物治疗无法缓解。
四、它能取代传统手术治疗肺结节吗?
最新版《多发磨玻璃结节样肺癌多学科诊疗中国专家共识2024年版》指出“热消融是治疗肺多发GGN样肺癌的治疗方法之一或者是手术切除的重要补充”。
基于目前的临床理论以及专家共识,手术切除肺结节是首选的治疗方案,消融或其他治疗手段是对部分不适合手术治疗患者的重要补充手段。
一旦发现肺结节,应及时就诊,在专业临床医生的指导下选择最合适的治疗方式。
素材提供 | 胸外科
编辑 | 平 韦
责编 | 闻 达
审核 | 许 蜜
地址:湖北省仙桃市南城新区沔州大道中段29号 咨询电话:0728-3220999(工作时间)/ 3220079(休息时间) 传真: Email:1187831096@qq.com