
公众号:
仙桃人民医院微信二维码

公众号:
仙桃人民医院支付宝二维码
返回顶部
Introduction
导读
为进一步提高诊断准确率,解除患者赴外地就医困难,仙桃市第一人民医院斥巨资引进的美国GE原装进口3.0T核磁共振——GE SIGNA Pioneer 3.0T,近日正式开通运行。
这一高端设备的投入使用,为新年献上一份大礼,也为仙桃及周边地区广大百姓患者带来最强福音,同时也必将推动市一医对疑难疾病的诊断水平再上新台阶!
据了解,GE SIGNA Pioneer 3.0T 由全球顶尖的医疗集团GE于2017年2月19日正式发布,这是GE迄今在中国推出的最新、最高端的一款磁共振设备。那么这台高大上的3.0T磁共振有何特点,请随小编一起去一探究竟,一起揭开它神秘的面纱.......
传统的 MRI 设备往往存在成像精度低、扫描速度慢的致命弱点,为临床医师的阅片、患者的就诊带来了很大的困扰。而 Pioneer 3.0T 从四重变革直击要害,解决了这两大难题。
成像精准度方面:由 GE 研发的 DST 环绕磁共振系统囊括了环绕矩阵式梯度系统和环绕射频系统,分别在梯度和射频上带来了革新。
梯度方面:区别于以往单梯度,Pioneer 3.0T 采用全新构架的 45 单元环绕矩阵式梯度系统使扫描得到更精准的控制。灵活的梯度单元工作模式可以根据扫描部位开启不同的梯度单元,以不同的序列查看不同的组织,从而实现灵活的梯度性能输出,带来更高的图像质量。
射频方面:Pioneer 3.0T 配备了目前业内领先的 65 通道环绕射频系统,在该系统的强大支持下,开创性地运用了 DST 环绕全景成像技术。在一次成像过程中首次实现表面线圈与大体线圈同时成像,全面利用两个线圈获得的信息,进行广覆盖、高信噪比、高均匀性的扫描。
由于传统 MRI 设备的限制,即便是经验丰富的临床医生对体积较小的深部脏器如前列腺、胰腺、结直肠的识别也存在较大困难,而这些器官的癌症发病率正逐年升高,不容小觑。Pioneer 3.0T 的 DST 系统的 DWI 完美解决了这一问题,其打破了传统设备的限制,实现了更高的图像质量和信噪比,针对局部器官脏器实现精准高清的成像(FOCUS DWI),像放大镜一样,让病灶秋毫必现。
▲ 前列腺癌患者成像对比
与传统 DWI 成像相比,Pioneer 的高清 DWI 大幅度提高了图像的空间分辨率,降低了失真程度,病灶的位置和范围的显示准确程度得到了显著的提升,最右侧与常规解剖图像的融合精准吻合。
▲ FOCUS 技术对于直肠癌的显示也达到了极高的标准
别具一格的是,Pioneer 3.0T DST 系统 DWI 利用药代动力学模型得到的 Ktrans 等功能参数可视化、量化呈现肿瘤内部新生血管形成中渗透性和流动特性改变的情况,在肿瘤发生器质性变化之前,发现功能性病变。这对于肿瘤的早期诊断具有极大的价值。
在神经领域,近年来难治性癫痫的影像学监测成为热点,而难治性癫痫多为海马病变引起,在传统 MRI 设备中,海马成像往往受到制约,但运用 FOCUS DWI 系统则可以清晰的观察到海马 DWI T2 像上的高信号,帮助实现严格的诊断及鉴别诊断。同样,对于视神经病变,该系统可实现精准的呈现图像。
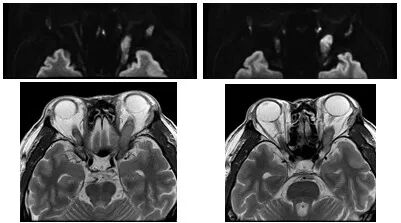
▲ 视神经存在病灶成像对比
视神经存在病灶,靠近富含空气的鼻腔,传统成像方式的磁敏感伪影往往会造成图像严重变形或者信噪比下降;Pioneer 聚焦视神经周围组织,对病灶结构以及与周围组织的关系清晰成像,图像精准无变形,为临床诊断提供了更准确的信息。
扫描速度方面:Pioneer 3.0T还引入了一款革命性拓展技术——MAGiC,这是GE全新研发的磁共振成像以及后处理技术。借助该技术,Pioneer 3.0T 可在一次成像中提供至少 6 个不同的对比度,通过一次扫描解决了原来需要 5 至 6 次扫描实现的图像信息,而扫描时间仅为原来的 4 分之 1。
Pioneer 3.0T的主要优势
1、3.0T磁共振的信噪比高于1.5T磁共振,使得发现小病灶的能力大大地提高;
2、3.0T 磁共振有更好的频谱成像效果;
3、3.0T 磁共振的成像速度高于1.5T磁共振;
4、3.0T的体部多期动态成像效果和1.5T相比有质的飞跃;
5、3.0T 磁共振的血管应用效果大大优于1.5T;
6、在骨关节成像上3.0T 拥有全面的优势;
7、在水成像效果上的优势明显,3.0T磁共振的信噪比高于1.5T;
8、3.0T磁共振的类PET扫描优于1.5T 磁共振;
9、3.0T 磁共振拥有更好的DTI(弥散张量成像)效果;
10、3.0T磁共振拥有更好的BOLD(脱氧血红蛋白的成像)效果,可以达到更好的成像质量,减少伪影;
11、3.0T 磁共振拥有更好的FAIR(动脉自旋标记成像)成像效果;
12、3.0T 磁共振拥有更好的SWI成像效果。
那么,有人会问,核磁共振检查对人体有危害吗? 据专家介绍,核磁共振成像是利用电子计算机对人体断面进行图像分析诊断的检查方法,它不用X线,而是磁场,其基本原理是人体所含氢原子在强磁场下给予特定的高波后会发生共振现象,产生一种高波数的电磁波。
核磁共振成像可以显示脂肪、全身脏器、肌肉、快速流动的血液、骨骼和空气等。对脏器内部结构也能清楚显示。医生可以很好的识别病人体内的肿瘤、炎症、坏死病灶、异常物质沉着、功能阻碍、血液循环阻碍等病变。对于神经系统、胸部、腹部及四肢各种疾病的诊断提供很大的帮助。
由于核磁共振是磁场成像,而不是X射线,没有放射性,所以对人体无害,是非常安全的。
编辑 | 闻 达
策划 | 吴新华
审核 | 朱 凯
地址:湖北省仙桃市南城新区沔州大道中段29号 咨询电话:0728-3220999(工作时间)/ 3220079(休息时间) 传真: Email:1187831096@qq.com