
公众号:
仙桃人民医院微信二维码

公众号:
仙桃人民医院支付宝二维码
返回顶部
导语:介入放射治疗,是通过对人体自然血管、胆管、消化道以及体表穿刺,在图像引导下实施精准治疗,具有微创或无创,恢复快的特点。尤其是全身状况差不能耐受手术或不宜采用其它治疗方法的的情况下,其优势更为明显。
2月9日下午6时,介入放射室主任吕旭光刚参加完医院的第十一届职代会,正准备下班离院,突接急会诊通知,一男性患者,腹腔大出血,血压急剧下降,生命垂危!
介入放射室紧急启动急诊预案,通知已下班返家的辜赶超、杨宏伟和范磊医生、徐继红技师、董红艳护士长,急速赶回科室。
经过术前充分讨论,缜密制定介入手术方案及风险防范控制措施,果断实施手术。术中行腹腔脏器多支血管造影,锁定出血动脉瘤,历经3个多小时的抢救,栓塞止血成功,患者顺利转入普通病房,此时已是晚上10点多。
早就错过晚餐的他们,一人一碗拉面就这么凑合着度过了小年夜。对于这样一群以解除病痛为己任、视病人为亲人、忘我工作的医务人员,再多的语言,再多的赞扬,都是那么苍白无力,他们用最朴素的行为感动着患者,也感动着身边的每一个人,他们默默付出就是对“救死扶伤”使命的最好诠释。
据悉,我院介入放射室每年开展类似手术约1000台次,给年老体弱、全身状况差不能耐受手术或不宜采用其它方法治疗的患者带来了新的福音。
仙桃市第一人民医院介入放射室简介
我院介入放射治疗开始于2007年,现拥有一批乐于奉献,爱岗敬业,身怀绝技的专业人才,现有副主任医师1人,主治医师3人,医师1人,技师2人,主管护师2人。科室固定资产近3000万元,配备德国西门子1000MA数字减影血管成像系统,德国赫尔曼臭氧仪,美国射频电热凝系统,微波消融系统等高精尖设备。
目前,我院介入放射室是全市唯一独立建科专业介入诊疗科室,是湖北省县级临床重点学科(放射)、仙桃市市级临床重点学科(放射)的重要组成部分。多项科研课题获得省市级立项,其中甲状旁腺功能亢进消融治疗获得省卫计委资助,腰椎间盘突出症旋切联合臭氧治疗获得市科技局资助。在本地区具有参与出血性疾病抢救能力,针对消化道大出血、支气管扩张大咯血、肺结核出血、肿瘤出血、瘢痕妊娠出血、创伤性动脉出血采用多种栓塞方法、多种途径进行介入治疗,成功率不断提高。
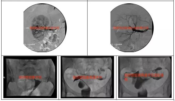
我院介入放射室主要业务包括血管介入与非血管介入,以肿瘤介入治疗及血管性疾病介入治疗为重点,联合心血管内科、神经外科、心胸外科等重点学科开展冠心病支架置入,脑动脉瘤栓塞,大血管支架置入等多项复杂手术项目。在颈椎病、腰椎间盘突出症置管治疗、射频消融、髓核旋切、臭氧消融等;针对肝癌、肺癌、胰腺癌等恶性肿瘤联合相关学科采用栓塞、灌注、粒子植入、微波消融等多种手段效果确切;针对不宜开放手术或有保留子宫愿望的子宫肌瘤采用子宫动脉栓塞术,针对输卵管阻塞导致不孕的再通术均取得满意效果。
地址:湖北省仙桃市南城新区沔州大道中段29号 咨询电话:0728-3220999(工作时间)/ 3220079(休息时间) 传真: Email:1187831096@qq.com