
公众号:
仙桃人民医院微信二维码

公众号:
仙桃人民医院支付宝二维码
返回顶部
“医生,现在诊断都还没有搞清楚,你就要我去做手术吗?”患者一脸的质疑与犹豫,反复追问。近日,心血管内科门诊接诊了一位57岁男性,因“胸痛7小时”被家人陪同前来检查身体。胸痛的程度不重。询问病史,没有高血压、糖尿病、冠心病等慢性病史。

入院心电图
“医生,我感觉没啥的,没必要住院吧?有这么严重吗?”患者不愿相信,还在与医生纠结。
“看您的心电图报告,再结合发病情况,我们判断基本上就是急性心肌梗死,情况紧急啊,请相信我们!”医生坚定而焦急地说。

从心电图可以初步判断为De Winter综合征,这是一种罕见却致命的危症!医生与家属耐心地沟通,反复详细解释,并建议马上进行急诊介入治疗。当得知该病的危险性和严重性后,患者及家属欣然同意了医生的建议。

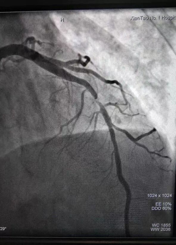
前降支中段次全闭塞并可见血栓影
时间就是生命!接诊医生立即通知心血管内科值班医护人员做好工作,并强调陪检人员一定要将患者护送至心血管内科病房,同时在心血管内科急诊介入工作群内上传了患者的病历资料,整个心血管内科团队即刻了解了患者情况,并积极开展急诊介入的准备。

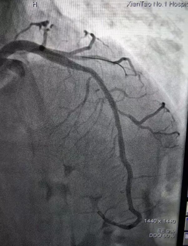
前降支中段植入支架后影像
患者达到心血管内科病房,复查心电图后,立即给予抗血小板、调脂、溶栓等治疗缓解症状。随后,进行介入手术。冠脉造影提示前降支中段有血栓,导致血管近乎闭塞,经过40分钟的手术,成功植入支架一枚,复查造影提示支架形态良好,血管畅通,患者转危为安。

“我们不懂啊,哪里知道病这么严重呢,真是捡了条命啊,谢谢医生!”患者好转出院时感激不尽。“这是我们应该做的。谢谢您对我们的信任!”医生认真地说。
致命的De Winter综合征
荷兰鹿特丹心内科医生De
Winter等人发表了一个研究,称其在2008年通过回顾其心脏中心LAD近段闭塞的急性冠脉综合征心电图发现,其中有30例并未出现典型ST段抬高的心肌梗死(STEMI)超急性期心电图表现,而是表现为ST段上斜型压低,从而发现了这类在急性心肌梗死中心电图表现为前壁ST段上斜型压低但是冠脉造影术显示是LAD重度狭窄的特殊类型,称之为De
winter综合征。这类患者在临床上多表现为胸痛,由于心电图不表现为典型的STEMI或N-STEMI的心电图表现,容易出现误诊、漏诊,延误治疗,造成严重后果。
1、胸前V1-6导联J点压低1-3mm,ST段呈上斜型下移,随后T波对称高尖
2、QRS波通常不宽或轻度增宽
3、部分患者胸前导联R波上升不良
4、多少患者avR导联ST段轻度抬高。
由于De Winter综合征的ST段是压低为主,但造影结果多提示为前降支单一血管病变,且为近段完全或次全闭塞,与非ST段抬高型心肌梗死的血管病变特点不相符,所以也不能归为非ST段抬高型ACS。鉴于此类患者可能出现严重不良预后,快速识别这种心电图表现非常重要,尤其是对发生心脏骤停的患者而言。这种心电图表现是由于左前降支完全闭塞或次全闭塞所致,必须进行急诊冠脉介入治疗,开通梗死相关血管,挽救存活心肌。
供稿 | 心血管内科
编辑 | 闻 达
策划 | 吴新华
地址:湖北省仙桃市南城新区沔州大道中段29号 咨询电话:0728-3220999(工作时间)/ 3220079(休息时间) 传真: Email:1187831096@qq.com